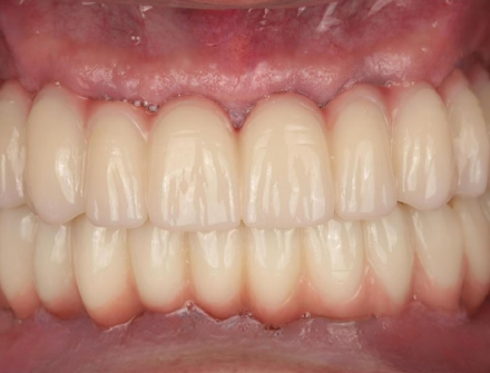
Implant Crown
At Edentalab, we offer both screw-retained and cement-retained implant crowns, each designed to address specific clinical needs. Both types provide exceptional stability ,esthetics and long-term durability. Using advanced materials such as zirconia, E.max, or PFM, Whether for single crowns or multi-unit bridges, each restoration is tailored to the individual needs of the patient and implant system
Technical Specification
Material Options:
- Zirconia (monolithic or layered)
- E.max (Lithium Disilicate)
- Porcelain-Fused-to-Metal (PFM) for certain clinical needs
Fabrication Methods:
- CAD/CAM Milling (for zirconia, E.max, and PFM)
- Traditional Casting (for PFM and certain metal alloys)
- Implant System Compatibility: Compatible with any implant systems
Cementation:
- Resin-based adhesive cement
- Resin-modified glass ionomer cement, depending on system and clinical requirements
Screw-Retained vs Cement-Retained Implant Crowns
|
Feature |
Screw-Retained Implant Crown |
Cement-Retained Implant Crown |
|
Retention Method |
Mechanically cement at the lab |
Clinician cement in the mouth |
|
Indications |
Posterior crowns, multi-unit bridges, functional restorations |
Anterior crowns, esthetic restorations, high-visibility zones |
|
Esthetics |
Screw access hole visible (usually covered) |
No visible screw access, more seamless esthetics |
|
Retrievability |
Easy to remove and replace due to screw access |
Difficult to retrieve without damaging the crown or abutment |
|
Material Compatibility |
Compatible with zirconia, E.max, PFM |
Compatible with zirconia, E.max, PFM, and ceramics |
|
Procedure Complexity |
Moderate; requires precise screw tightening |
Requires proper cementation techniques and no excess cement |
|
Long-Term Stability |
Excellent stability, minimal risk of loosening with proper torque |
Reliable stability if cemented correctly, risk of cement washout |
|
Ideal For |
Functional and long-lasting posterior restorations, bruxers |
Highly esthetic anterior restorations, where appearance is crucial |
|
Cementation Risk |
No cement-related complications |
Risk of excess cement causing peri-implantitis if not managed properly |
|
Cost |
Generally more affordable |
Slightly more expensive due to technique and cementation requirements |
Customise Abutment

Customised implant abutments are designed to deliver superior precision, aesthetics, and long-term stability for every case. At our dental lab, each abutment is digitally designed and meticulously milled to match the patient’s anatomy, ensuring optimal soft tissue support, ideal emergence profile, and accurate crown positioning. By combining advanced CAD/CAM technology with expert craftsmanship, we provide clinicians with reliable, high-performance solutions that enhance both function and natural-looking results.
